我院超声科成功实施首例超声引导下经皮肾盂造瘘术,为重度肾积水患者打通“生命通道”!
* 来源: 功能科 * 作者: admin * 发表时间: 2025-11-17 16:57:03 * 浏览: 56
近日灵宝市二院超声科成功为一位重度肾积水患者进行超声引导下经皮肾盂造瘘术,引流效果立竿见影,患者压迫症状明显减轻,为挽救患者肾脏功能,提高生活质量创造了条件。
这是我院超声科完成的首例超声引导下经皮肾盂造瘘术,是超声介入技术的又一次突破!
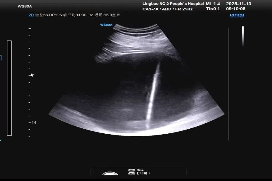
患者张某,男,46岁,因右侧腰背部疼痛来我院泌尿外科就诊,经CT检查后发现该患者右肾及右侧输尿管多发结石,导致右肾重度积水,右侧输尿管重度扩张。看到这个诊断结果后,泌尿外科郝波波主任高度重视,考虑到患者还很年轻,这么严重的肾积水,如果不尽快处理,会严重压迫肾实质,导致肾脏缺血、萎缩,进而导致右肾功能丧失,影响患者生活质量。泌尿外科郝波波立即与超声科毋荃梅主任进行联系,经过全面评估后,制订出最适合的穿刺方案,最终于11月13日上午成功为患者进行了超声引导下经皮右肾盂造瘘术,手术置管顺利,当场引流出淡黄色清亮尿液,患者感觉良好,腰背部胀痛的感觉明显得到缓解!
介入超声是指在实时超声的引导或监视下,“以针代刀”来完成各种活检、置管、抽吸、注药、消融治疗等操作,使患者避免了传统外科手术的痛苦,并达到与外科手术相媲美的效果,已经成为微创治疗领域的支撑技术之一。
介入超声具有精准、微创、安全无辐射、痛苦小、可重复等优点,契合精准医疗的理念,成为超声医学发展的趋势。目前我院超声科可开展超声引导下胸腔积液、腹腔积液穿刺置管引流;超声引导下囊状穿刺硬化治疗及超声引导下肿块穿刺活检术。
下一条: 【中秋节】月饼怎么吃才健康?





关闭返回